
NHA KHOA V-TRUST
Số 4, ngõ 108 phố Ngọc Hà, Ba Đình, Hà Nội
024 321 1328


Phòng khám có hệ thống Golign
Để chụp X-quang và lấy dấu răng
Phác đồ điều trị của bạn
Nhận khay nhanh chóng

Số 4, ngõ 108 phố Ngọc Hà, Ba Đình, Hà Nội
024 321 1328



94 Vân Giang, TP. Ninh Bình
0229 3610 222
0912 869 838


Số 60 Nguyễn Văn Cừ, P. Hồng Hải, TP Hạ Long
0203 3283 2288
0812832288
Đà Nẵng
Huế
Nghệ An
Quảng Bình
TP. Hồ Chí Minh
Bình Dương
Đồng Nai
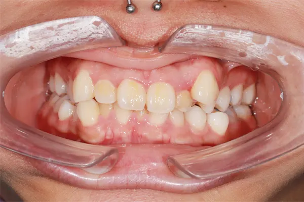
Xác nhận và bắt đầu liệu trình niềng răng.
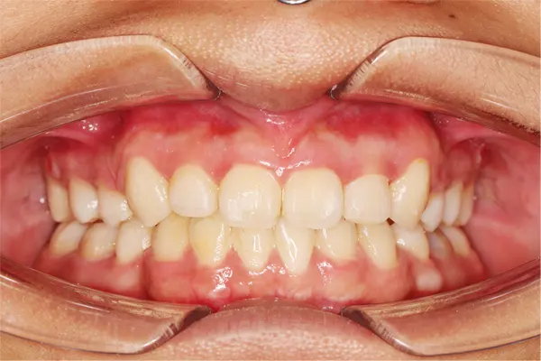
Thời gian điều trị thay đổi tùy theo từng trường hợp, nhưng việc biến đổi nụ cười trên Melign mất trung bình từ 3 – 9 tháng. Do tính chất của Melign, đôi khi việc di chuyển chậm để đảm bảo an toàn có thể mất đến 15 tháng
Hầu hết khách hàng niềng răng đều bắt đầu nhận thấy sự khác biệt từ tháng thứ 3 của liệu trình.